Chi Siamo
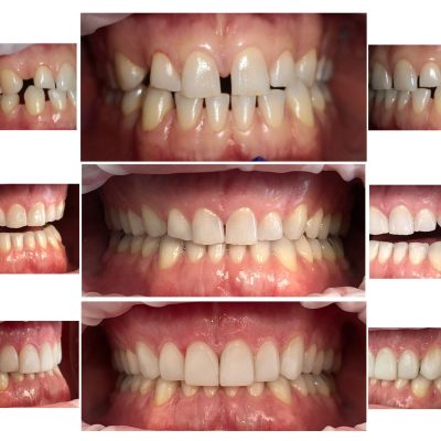
Siamo uno studio dentistico a conduzione familiare e tutto al femminile, che si occupa di tutti gli aspetti dell’odontoiatria e della cura del sorriso. Siamo nuove a Piumazzo, ma non certo nel nostro lavoro. La dottoressa Carla Ferrari, la mamma, dentista, ha esperienza quarantennale a Modena e Reggio Emilia e la dottoressa Silvia Galli, la figlia, dentista, pratica da 13 anni, non solo in Italia, ma anche in Svezia dove ha conseguito numerosi titoli universitari. Siamo particolarmente forti nell’estetica di denti, labbra e tessuti peri-orali, in poche parole dell’estetica del sorriso.
Per questo facciamo molta ortodonzia (la scienza di raddrizzare i denti con apparecchio fisso tradizionale o trasparente), sbiancamento, faccette (la ricostruzione dei denti davanti per armonizzarne forma e colore) e anche filler e botox.
Tuttavia, l’estetica non può esistere senza la perfetta salute di denti e gengive! I denti non si possono raddrizzare, sbiancare o armonizzare in presenza di gengive ammalate, sanguinanti, gonfie e doloranti, o i presenza di carie e altre patologie dolorose e degenerative dei denti.
Per questo, da quasi 40 anni la nostra prima missione è la prevenzione e la cura della bocca, per avere un sorriso bello, splendente, ma soprattutto sano e duraturo!
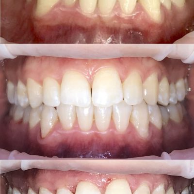
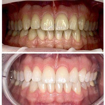
Invisalign a Castelfranco Emilia
Il nostro studio dentistico si dedica a cure dentali di alta qualità per un sorriso sano. La nostra passione per la professione ci ha spinto a specializzarci in una vasta gamma di trattamenti dentali avanzati, compreso il rinomato sistema invisalign a Castelfranco Emilia.
Questo è un tipo di trattamento ortodontico innovativo e discreto che si utilizza per correggere i problemi di allineamento dei denti. Attraverso l’uso di allineatori trasparenti personalizzati, è possibile ottenere un sorriso perfettamente allineato senza dover indossare apparecchi metallici tradizionali.
Grazie all’invisalign a Castelfranco Emilia, i pazienti possono godere di una soluzione esteticamente gradevole e confortevole per migliorare la loro salute dentale e il loro aspetto. Come professioniste del settore, ci prendiamo il tempo necessario per ascoltare le preoccupazioni e le esigenze individuali di ciascun paziente. Offriamo un approccio personalizzato, sicuro e gentile per minimizzare l’eventuale disagio che può comportare una visita dentistica.
L’invisalign a Castelfranco Emilia è una delle soluzioni più richieste nel nostro studio dentistico. Attraverso questo trattamento, possiamo aiutare i pazienti a raggiungere un sorriso luminoso e armonioso, migliorando la loro fiducia e la loro salute dentale complessiva.
Siamo felici di offrire questo servizio ai nostri pazienti, perché crediamo che ogni sorriso meriti di brillare. Se siete interessati a migliorare il vostro allineamento dentale, vi invitiamo a fissare un appuntamento presso il nopstro studio dentistico.
Filler a Castelfranco Emilia
Nel nostro studio dentistico ci siamo sempre dedicate alla cura e al benessere dei sorrisi dei nostri pazienti. la nostra missione è fornire un servizio di alta qualità e mettere a tua disposizione le ultime tecnologie e trattamenti dentali.
Uno dei servizi principali che offre il nostro studio è l’applicazione di filler a Castelfranco Emilia. I filler labbra sono un trattamento estetico minimamente invasivo che aiuta ad aumentare il volume e a definire la forma delle labbra. La procedura consiste nell’iniezione di un gel a base di acido ialuronico, un componente naturale della pelle che trattiene l’acqua per idratare e dare volume: questo migliora l’aspetto delle labbra che possono aver perso volume con l’età, o può semplicemente aiutare chi desidera labbra più piene o più definite. Grazie a questa procedura, il vostro sorriso sarà ancora più radioso.
I filler a Castelfranco Emilia sono sicuri ed efficaci, e vengono personalizzati per soddisfare le tue preferenze estetiche. Grazie alla nostra esperienza e attenzione ai dettagli, siamo in grado di fornire risultati naturali e armoniosi.
Per prenotare una visita presso il nostro studio, o per ricevere informazioni sul filler a Castelfranco Emilia, basterà contattarci tramite i nostri recapiti.
Vi aspettiamo, insieme a tutto il nostro team, in un ambiente accogliente e famigliare, per parlare della vostra salute, delle vostre paure, ma soprattutto dei vostri desideri, sul vostro sorriso.
Contatti
Indirizzo: Via G. Mameli, 5, 41013 Piumazzo MO
Orari: Lunedì e Giovedì 13:00 – 19:00
Martedì – Mercoledì – Venerdì 10:00 – 15:00
Tel: 059 934359
Cel: 377 573 1998
Mail: info@dentistagalli.it








