ORTODONZIA FISSA IN ADULTI E BAMBINI
L´ortodonzia fissa, o apparecchio fisso, é quella tecnica per spostare i denti tramite un dispositivo incollato ai denti, di solito un dispositivo metallico.
Questo apparecchio può essere usato sia dagli adulti che dai bambini ed é particolarmente indicato per quei pazienti che hanno paura di non essere costanti ad usare un apparecchio mobile, come quello con le mascherine trasparenti Invisalign, ma preferiscono un dispositivo sempre attaccato ai denti.
E perché no, con gli elastici colorati é anche trendy!
Se sei interessato/a a raddrizzare i tuoi denti, chiamaci, siamo a tua disposizione per illustrarti tutte le possibilità che ti possiamo offrire per avere il sorriso che hai sempre sognato!
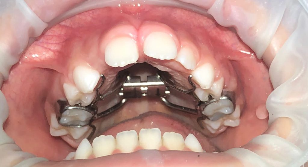
ORTODONZIA INTERCETTIVA PEDIATRICA
L´ortodonzia nel bambino in crescita, detta anche ortodonzia intercettava, si esegue in bambini tra i 6 e i 12 anni circa. Comporta l’uso di apparecchi fissi e mobili che servono a guidare correttamente la crescita della mandibola o della mascella, in poche parole la crescita facciale. Si può dire che ha un’azione ortopedica, perché va a modificare la crescita ossea.
È fondamentale quando ci sono differenze importanti di dimensione tra l´arcata di sopra e l´arcata di sotto, quando il palato é molto stretto. o quando alcuni denti, ad esempio i canini, crescono notevolmente fuori dall´arcata dentaria. Può essere molto utile o risolutiva anche problemi otorinolaringoiatrici (certe forme di naso chiuso o certe forme di sordità, ad esempio)
Intervenire durante l´infanzia può evitare interventi più invasivi, difficili e costosi successivamente.
Se sospetti che il tuo bambino o la tua bambini abbia chiuda male i denti o vedi alcuni denti che crescono fuori dall´arcata dentaria, chiamaci subito, e faremo una visita ortodontica con la nostra esperta, la dottoressa Carla Ferrari.
In generale, una visita ortodontica é consigliata a tutti i bambini tra i 6 e gli 8 anni, perché intervenire in tempo é sempre la scelta più saggia, meno costosa e vantaggiosa!
